Dental Implants in Keller, TX
If you’re missing one or more teeth and looking for a strong, natural-feeling replacement, dental implants offer one of the most reliable solutions in modern dentistry. At Highland Oaks Family Dentistry, we provide advanced dental implants in Keller, TX, designed to restore your smile’s function, health, and confidence. Whether you found us while searching for a dentist near me or are exploring long-term tooth replacement options, our experienced team delivers personalized implant care using top technology and proven techniques.
What Are Dental Implants?
Dental implants are like artificial tooth roots which are made up of biocompatible titanium. They are placed in the jawbone, where they integrate naturally and provide a stable foundation for crowns, bridges, or dentures. Because they mimic the function of original tooth roots, implants help:
- Restore strong chewing ability
- Preserve jawbone health
- Prevent shifting of surrounding teeth
- Improve speech and daily comfort
- Support long-term oral health
For patients wanting secure, long-lasting tooth replacement options, implants offer a durable and lifelike solution.
Our Dental Implant Services in Keller, TX
We provide a full range of customized implant solutions for patients with different needs—from a single missing tooth to complete smile restoration.
Single Dental Implants in Keller, TX
A single dental implant is ideal if you’re missing just one tooth. Once the implant heals and integrates nicely with the bone, a custom crown is attached, matching the color and shape of surrounding teeth.
Benefits include:
- Looks and feels like a natural tooth
- Long-lasting stability
- Protects nearby teeth from shifting
- Supports jawbone structure
Implant-Supported Bridges in Keller, TX
If you are missing several teeth in a row, an implant-supported bridge offers a stronger alternative to traditional bridges. Instead of relying on natural teeth for support, the bridge is anchored to one or more implants.
Why patients choose this option:
- No need to shave down healthy teeth
- Increased strength compared to traditional bridges
- Natural appearance and long-term durability
- Better chewing function and bite stability
Full-Mouth Dental Implants in Keller, TX (Full-Arch Solutions)
For patients missing most or all of their teeth, full-mouth dental implants offer a transformative way to restore an entire arch with as few as four to six implants. These full-arch solutions provide exceptional security, function, and esthetics.
Benefits include:
- Fixed, non-removable teeth
- Restore nearly 100% natural biting power
- Prevent bone loss and facial collapse
- Extremely stable and life-changing results
Implant-Supported Dentures in Keller, TX
If you currently wear dentures or struggle with slipping or discomfort, implant-supported dentures provide a secure upgrade. Implants lock the denture in place for a confident, comfortable fit.
Advantages include:
- No movement or slipping
- Improved chewing and speaking
- Less irritation and fewer sore spots
- Option of removable or fixed prosthetics
Dental Implants Treatment Process
- Consultation & 3D Imaging
- Implant Placement
- Healing & Osseointegration
- Restoration Placement
Your dentist evaluates your oral health, bone density, and smile goals. Advanced digital imaging and scanners are used to map precise implant placement.
Using minimally invasive techniques, the titanium implant is placed into the jawbone. Most patients report little to no discomfort during this step.
Over the next few months, the implant fuses naturally with the bone, creating a strong foundation for your new tooth or restoration.
A custom-made crown, bridge, or denture is carefully attached to the healed implant, completing your new smile.
Technology & Materials Used
At Highland Oaks Family Dentistry, we use:
- High-resolution 3D Cone Beam CT scans (CBCT)
- Digital scanning for mess-free impressions
- Guided implant surgery for precision and safety
- Premium titanium and zirconia implant materials
- Custom-crafted restorations for natural esthetics
These advancements ensure accurate planning, shorter recovery, and predictable long-term outcomes.
Cost of Dental Implants & Financing Options
The cost of dental implants in Keller varies depending on how many implants you need, the type of restoration, and any preparatory procedures (such as bone grafting). During your consultation, we’ll provide a clear, personalized estimate.
We accept:
- Most dental insurance plans (coverage varies by plan)
- Flexible monthly financing options
- HSA/FSA payments
- Affordable payment plans
Our goal is to make long-lasting tooth replacement accessible for every patient.
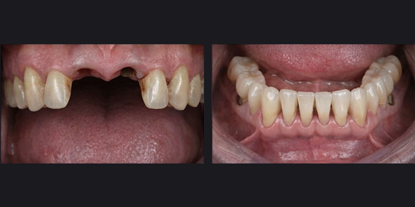
Before & After (Stock Example Images)



Recovery & Aftercare
Healing is generally smooth, and most patients return to normal routines within 24–48 hours. For optimal recovery:
- Use cold compresses to reduce swelling
- Eat soft foods for several days
- Brush gently around the implant area
- Avoid smoking or alcohol during healing
- Attend all follow-up visits
Long-term care includes regular cleanings, daily brushing and flossing, and maintaining healthy gums.
FAQs About Dental Implants
Most patients feel only mild pressure during placement. Local anesthesia and minimally invasive techniques keep you comfortable.
With good oral care, implants can last 20+ years—often a lifetime.
If you have healthy gums, proper bone density, and good overall health, you’re likely a candidate. Bone grafting may be recommended in case bone density is low.
Implants provide stronger stability, better chewing power, and a more natural feel, without slipping or adhesives.
Some plans cover portions of the treatment. During your visit, we’ll review your benefits and provide financial clarity.
Schedule Your Dental Implants Consultation
If you’re ready to renew your smile with dental implants in Keller, TX, our skilled team at Highland Oaks Family Dentistry is here to help. Contact us today to schedule your consultation and explore the best implant solution for your needs.
Your stronger, healthier smile starts here.